صفحه اصلی
درباره ما
معرفی کلینیک
بیوگرافی دکتر یاسر صافی
معرفی پرسنل
خدمات کلینیک
رادیوگرافی پانورکس
رادیوگرافی سفالوگرام
رادیوگرافی (CBCT)
رادیوگرافی پری اپیکال
رادیوگرافی بایت وینگ
رادیوگرافی واترز
رادیوگرافی تعیین سن استخوانی
رادیوگرافی مفصل تمپور و مندیبولر
سونوگرافی نسج نرم و غدد بزاقی
سیالوگرافی
فوتوگرافی
تازه ها
اخبار
مقالات دکتر یاسر صافی
فعالیت های دکتر یاسر صافی
کنگره ها و سمینارها
ویدیو ها
بیمه های طرف قرارداد
گالری تصاویر
ارتباط با ما
جواب دهی آنلاین
جواب دهی آنلاین
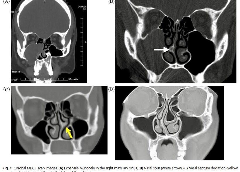
Evaluation of diagnostic accuracy of cone beam computed tomography and multi- detector computed tomography for detection of anatomical variations in rhinoplasty
3
Social Share
←
تلفن کلینیک
اینستاگرام
تلگرام