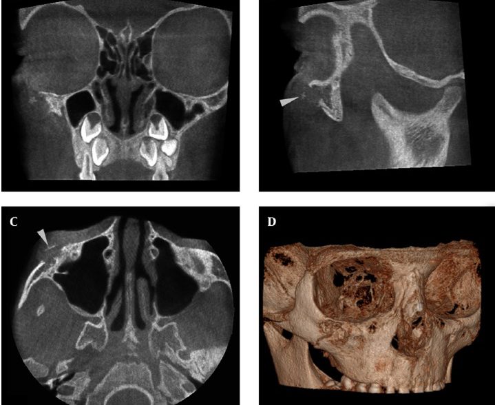
Desmoplastic Fibroma, Report of a Rare Case in Infraorbital Rim